首页| 关于我们| 视频片段| 联系我们| ENGLISH
专 家 委 员 | 学 术 活 动 | 学 术 论 文 | 政 策 法 律 | 书 刊 推 介 | 知 识 园 地 | 专 家 讲 坛 | 培 训 信 息
信 息 动 态 | HIS  建 设 | 标 准 规 范 | 信 息 技 术 | 医 药 技 术 | 医 学 工 程 | 信 息 科 学 | 国 外 动 态

最新公告:

第十三届中国电子病历博览会在杭州顺利召开   第十二届中国电子病历互联网医疗博览会顺利召开   第16届世界医药健康信息学大会杭州会场集锦   第十二届中国电子病历·人工智能·博览会邀请函   MedInfo2017 会议论文集已成功上线!   第二届世界医药健康信息学华语论坛苏州集锦   第十三届全国医药信息学大会论文集    设 为 首 页 加 入 收 藏

您现在的位置:中国医药卫生信息网 >> 首页 >> 医药技术

沈阳总院采用远程手术会诊救治一名基层军官

 
沈阳总院采用远程手术会诊救治一名基层军官

[作者:特约记者 白天任 记者 刘建伟 | 发表时间:2018-2-12  |点击数:2143  ]

 

沈阳联勤保障中心沈阳总医院

成功实施混合现实技术两地远程会诊手术成功救治一名患病军官

 

 

“不仅恶性肿瘤被全部切除,还保住了肾功能!”近日,沈阳联勤保障中心沈阳总医院泌尿外科利用全球领先的远程手术会诊“星联”系统,与近千公里之外的解放军第301医院泌尿外科联合,为一名基层患病军官成功实施了肾内型肿瘤切除手术。

 

 

    记者了解到,该院接诊的患者小张,是某部一名军官,今年31岁。此前在常规体检中,发现其右肾处有恶性肿瘤,且位于肾脏内部,手术发现肿瘤难度极大,需对肾脏进行全部切除,这对年轻的小张来说无疑于晴天霹雳。到该院就诊时,医院泌尿外科门诊第一时间为他开通了军人就诊绿色通道。

 

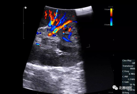
    “检查中发现,小张右肾内肿瘤的位置很刁钻,且直径不到1.5厘米,通过以往外科手术治疗方式很难探查到。”泌尿外科副主任医师曹志强告诉记者,术前,他们与数字化医学转化中心联系,采用MR混合现实技术对肾脏形态及内部结构实施数字化重建,通过佩戴混合现实眼镜,透过肾脏确认肿瘤位置。

 

 

一场跨越千里的手术正如期进行,场面堪比科幻大片:该院启用了国际领先的星联远程手术会诊系统,与远在北京的解放军301医院建立实时连接。301医院专家佩戴的专业眼镜,仿佛拥有透视眼,直接“来到”手术室、“进入”腹腔镜视野中,对手术进行全程指导。与此同时,为更好的保全病人肾脏功能,术中还采用了血管分支阻断技术,通过数字化血管成像技术,对肿瘤供应动脉进行精准判定,由该院手术医生采用超声术探头对肿瘤血管实施成功阻断。

 

 

“星联”显身手,“千里”共救治。历时1个半小时的手术在该院多学科协作、301医院专家“现场”指导下成功将指甲大小的肿瘤全部切除,成功实施了全军首例混合现实技术两地远程会诊手术。

 

 

据悉,针对部队野外救援特点,开发星联系统,专门用于远程‘实地’手术指导,解决偏远地区医疗配属不足问题,同时可以使得野战医疗所人员配置更加合理,前线只要有一名外科基本素质的军医即可基本解决所有医疗问题。“以往,我们的技术仅限于对病患进行把脉、问诊、开方子。如今,远程医疗是未来发展的趋势。”该院院长侯明晓介绍说,战时通过前线与后方的实时连接,将为伤病员提供更及时、更精准的治疗,提高战创伤救治效率,减小后送过程中存在的风险,更好的为官兵提供医疗救护和保障。

 


来自:新浪军事 北部战区  | 录入日期:2018-2-12 | 责任编辑:bjlw
声明:本网注明"来源"的文/图等稿件均为转载稿,本网转载出于传递更多信息之目的,并不意味着赞同其观点或证实其内容的真实性.
上一篇文章: 医疗人工智能的真实使用反馈
下一篇文章: 医疗服务智能监管系统 实现智能监管模式
告诉好友 | 打印此文 | 关闭窗口 
 · 美国远程医疗商业模式全揭秘:巨头的不同选...
 · 第16届世界医药健康信息学大会杭州会场集锦...
 · 信息产业部电子商务示范工程批复件
 · MedInfo2017 会议论文集已成功上线!
 · 第十三届全国医药信息学大会论文集
 · “视联网+5G+VR”开拓手术示教新模式
 · 博州人民医院开展远程手术医疗教学
 · 5G网络支撑远程医疗、手术、急救直播场景
 · TeamViewer为5G超声远程手术提供连接方案
 · 机器人辅助脑深部(DBS)手术治疗帕金森病